Tag: CT scan
CT imaging reveals more than a third of ‘old strokes’ are...
A retrospective evaluation has found that more than a third of old strokes discovered via head computed tomography (CT) imaging are “unknown” to both...
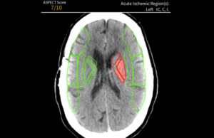
Avicenna.AI receives CE Mark for AI tool to assess stroke severity
Medical imaging AI specialist Avicenna.AI has received CE mark certification for its CINA ASPECTS AI tool for stroke severity assessment. CINA ASPECTS automatically processes...


